Angiomyolipoma - naczyniakomięśniakotłuszczak - AML
Naczyniakomięśniakotłuszczak - łac. angiomyolipoma jest łagodnym guzem nerki występującym u około 0,3% populacji. Guz o typie angiomyolipoma opisany został już w 1911 roku i stanowi on blisko 3% wszystkich guzów nerek. Częstość występowania angiomyolipoma jest czterokrotnie większa u kobiet.
Rozpoznanie
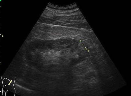
Guzy nerek o typie angiomyolipoma wykrywane są najczęściej przypadkowo w czasie badania USG jamy brzusznej , tomografii komputerowej lub rezonansu magnetycznego. W badaniu USG jamy brzusznej guzy o typie angiomyolipoma widoczne są jako hiperechogenne guzy i większości przypadków nie stwarzają problemu diagnostycznego.
Najistotniejszym badaniem diagnostycznym w przypadku AML jest tomografia komputerowa, na którą kierowani są pacjenci z podejrzeniem guza postawionym na podstawie USG jamy brzusznej.

Fot. Angiomyolipoma średnicy 1,cm w dolnym biegunie prawej nerki
Naczyniakomięśniakotłuszczak wykryty w czasie tomografii komputerowej jamy brzusznej widoczny jest jako dobrze odgraniczony guz zlokalizowany w warstwie miąższowej nerki. Charakterystyczną cechą angiomyolipoma w tomografii jest niska wartość sygnału - poniżej - 30 jednostek Hounsfielda (HU). Niska wartość sygnału AML spowodowana jest dużą zawartością tkanki tłuszczowej w guzie.
Angiomyolipoma może występować w dwóch postaciach klinicznych
80 procent guzów AML występuje jako odosobniony, jednostronny guz nerki
pozostałe przypadki stanowią pacjenci, u których angiomyolipoma występuje w związku z zespołem stwardnienia guzowatego.
Stwardnienie guzowate jest genetycznie uwarunkowanym zespołem charakteryzującym się trzema objawami: niedorozwój umysłowy, gruczolaki łojowe skóry o raz padaczka.
Leczenie pacjentów z AML
Leczenie pacjentów z angiomyolipoma nerek bez stwardnienia guzowatego
Decydujące znaczenie w podjęciu decyzji terapeutycznej ma wielkość guza, która koreluje z ryzykiem wystąpienia krwawienia do przestrzeni zaotrzewnowej. Pacjenci, u których średnica guza nie przekracza 4 cm, którzy nie mają objawów mogą być kontrolowani co 12 miesięcy poprzez wykonanie USG jamy brzusznej.
W przypadku chorych z guzem o średnicy powyżej 4 cm postępowanie terapeutyczne uzależnione jest od występowania objawów ze strony guza.
Pacjenci bez objawów mogą być poddawani kontrolnemu badaniu USG co 6 miesięcy. W przypadku pojawienia się objawów ze strony guza - krwawienie do przestrzeni zaotrzewnowej należy rozważyć operacyjne usunięcie guza - NSS lub jego embolizację. Objawowe guzy AML wymagają leczenia operacyjnego - usunięcie guza z oszczędzeniem nerki - NSS. Embolizacja guza AML charakteryzuje się mniejszą skutecznością w porównaniu z leczeniem operacyjnym.
Leczenie pacjentów z angiomyolipoma i zespołem stwardnienia guzowatego
Pacjenci z zespołem stwardnienia guzowatego z rozpoznanym guzem AML o średnicy mniejszej niż 4 cm powinni być kontrolowani co pół roku. Metodą z wyboru jest USG nerek. Pacjenci, u których zaobserwowano powiększanie się guza lub chorzy, u których wystąpiło krwawienie do przestrzeni zaotrzewnowej wymagają leczenia zabiegowego - NSS. Pacjenci z guzami o średnicy większej niż 4 cm wymagają leczenia operacyjnego - NSS.