Bóle nerek. Torbiel nerki stwierdzona w USG. Bóle pleców.
Mam 55 lat i od jakiegoś czasu nieustannie bolą mnie plecy w okolicy lędźwiowej. Zrobiłam sobie prywatnie USG brzucha żeby ocenić nerki. W opisie radiolog napisał : obie nerki położone typowo, bez zastoju i ech złogów z dobrze zachowaną warstwą miąższową. W dolnym biegunie nerki prawej torbiel korowa średnicy około 2,5 cm. Czy torbiel w prawej nerce może być przyczyną moich dolegliwości?
Odpowiedż eurologia.pl
Ból okolicy lędźwiowej niekoniecznie musi być związany z chorobą nerek. Torbiel 2,5 cm nie powinna dawać dolegliwości bólowych. Proponujemy nie poszukować na własną rękę przyczyny dolegliwości tylko zgłosić się do lekarza POZ.

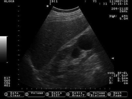
Fot. Przykładowy skan USG przedstawiający nerkę prawą z torbielą dolnego bieguna średnicy około 2,5 cm.