Co oznacza skrót PVR w opisie USG
W opisie USG mam skrót PVR. Co oznacza ten skrót? USG było robione z powodu nawracających infekcji pęcherza moczowego.
Odpowiedź zespołu eUrologia.pl
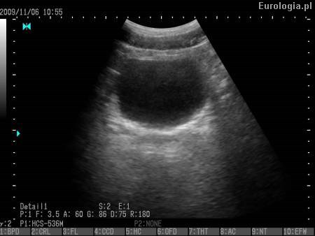
PVR jest skrótem od angielskiego okreslenia Post Void Residual oznaczającego objętość moczu zalegającą w pęcherzu moczowym. PVR jest standardowo używanym skrótem w diagnostyce ultrasonograficznej układu moczowego. Zaleganie moczu w pęcherzu może być przyczyną nwaracjących infekcji układu moczowego.

Fot. Zaleganie moczu w pęcherzu moczowym - PVR 80 ml.
Polecane artykuły
Polecane filmy