Czy wodonercze zawsze wymaga leczenia operacyjnego?
W badaniu USG wykryto mi wodonercze prawej nerki. Czekam na wizytę u urologa. Planuję ciążę i bardzo bym nie chciała leczenia operacyjnego. Czy wodonercze zawsze wymaga leczenia operacyjnego? Czy są nieoperacyjne metody leczenia wodonercza?

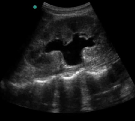
Fot. Obraz wodonercza prawostronnego w USG
Odpowiedź zespołu eUrologia.pl
Wodonercze jest wskazaniem do diagnostyki urologicznej. Konieczne jest ustalenie jaka jest przyczyna wodonercza i w zależności od rozpoznania planuje się dalsze leczenie. Wśród najczęstszych przyczyn wodonercza wymienia się kamicę moczowodową, zwężenie połaczenia miedniczkowo - moczowodowego i schorzenia powodujące ucisk na moczowód. W celu ustalenia rozpoznania wykonuje się urografię lub tomografię komputerową. Jeśli urolog stwierdzi wskazania do odbarczenia nerki wówczas zakładany jest nefrofix lub cewnik moczowodowy.
Polecane artykuły
Polecane filmy