Diagnostka prostaty - podwyższone PSA
Mam 65 lat. Co pół roku profilaktycznie robię badania krwi miedzy innymi na TPSA. Zawsze wynik był od 3,5-5. Ostatnio jednak TPSA był 8,77 a FPSA był 3,23. Wiem, że jest to wynik niepokojący. Chciałbym udać się do dobrego ośrodka w Polsce lub w Niemczech w celu postawienia diagnozy. Na czym polega diagnostyka prostaty w przypadku podwyższenia PSA.
Odpowiedź zespołu eUrologia.pl
Diagnostyka podwyższonego poziomu PSA polega na wykonaniu na biopsji gruczołu krokowego czyli pobraniu wycinków do badania histopatologicznego. Badanie wykonywane jest pod kontrolą USG - do tego celu wykorzystywana jest głowica transrektalna.

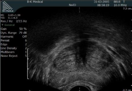
Fot. Obaraz gruczołu krokowego w czasie transrektalnego USG - TRUS.
W czasie biopsji pobieranych jest od kilku do kilkunastu wycinków - ilość zależna jest od stężenia PSA, wieku pacjenta i standardu obowiązującego w danym ośrodku. Biopsja gruczołu krokowego jest standardowym badaniem wykonywanym na wszystkich oddziałach urologicznych w ramach NFZ. Więcej informacji na temat biopsji stercza znajdzie Pan w artykule: Biopsja gruczołu krokowego pod kontrolą USG.
Polecane artykuły
Polecane filmy