Dlaczego ważne jest USG z pełnym pęcherzem moczowym?
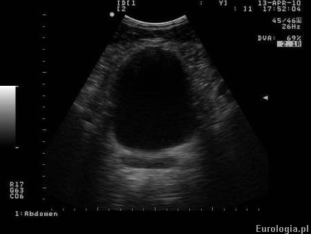
Dobrze wypełniony pęcherz moczowy jest podstawą jego oceny w badaniu USG. Pęcherz moczowy w czasie badania USG stanowi okno akustyczne, dzięki któremu możliwa jest ocena objętości gruczołu krokowego i otaczających struktur. Dobrze wypełniony pęcherz moczowy jest warunkiem miarodajnej oceny pod kątem obecności guzów lub kamicy.

Fot. Pęcherz moczowy w badaniu USG