Liczne zwapnienia w gruczole krokoweym w badaniu USG
Mam 22 lata i miałem wykonywane USG brzucha w czasie badań profilaktycznych. W wykonanym badaniu lekarz opisuje liczne zwapnienia w obrębie gruczołu krokowego. Wielkość prostaty mam w normie wiekowej. Skąd mogą być liczne zwapnienia w prostacie. Nigdy nie miałem żadnych problemów ani operacji na układzie moczowym? Czy zwapnienia w prostacie mogą być objawem jakiejś choroby gruczołu krokowego?
Odpowiedź zespołu eUrologia.pl
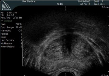
Urolodzy bardzo rzadko opisują echostrukturę gruczołu krokowego ocenianą w trakcie USG brzucha. Aby precyzyjnie ocenić echostrukturę gruczołu krokowego konieczne jest wykonanie USG transrektalnego - specjalna głowica do USG przezodbytniczego. Zwapnienia - czyli hiperechogenne odbicia mogą pochodzić z tkanki zrębowej gruczołu krokowego lub z kamieni sterczowych. Obraz stercza w USG wykonanym przez powłoki brzucha nie ma związku ze stanem ogólnym gruczołu krokowego.

Fot. Gruczoł krokowy w USG transrektalnym - przekrój poprzeczny.
Zwapnienia w gruczole krokowym u młodego mężczyzny bez żadnych dolegliwości ze strony układu moczowego nie są powodem do niepokoju i nie wymagają żadnej dodatkowej diagnostyki lub leczenia.
Polecane artykuły
Polecane filmy