Nerka podkowiasta - łac. horseshoe kidney
Nerka podkowiasta jest określeniem wady wrodzonej polegającej na zrośnięciu dolnych biegunów nerek łącznotkankową węziną. Częstość występowania nerki podkowiastej szacuje się na około 1 : 400.
W większości przypadków nerka podkowiasta nie daje żadnych objawów i stwierdzana jest przypadkowo podczas badań obrazowych typu USG lub CT.
Nietypowe położenie moczowodów w nerce podkowiastej może powodować utrudniony odpływ moczu z nerki co sprzyja powstawaniu infekcji układu moczowego i kamicy nerkowej.

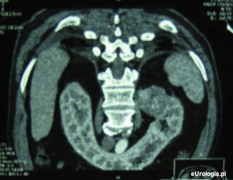
Fot. Obraz tomograficzny nerki podkowiastej z guzem górnego bieguna nerki lewej.