Pielografia zstępująca
Badanie radiologiczne polegające na wykonaniu zdjęcia przeglądowego nerek i pęcherza po podaniu środka kontrastującego przez cewnik nefrostomijny założony do układu kielichowo - miedniczkowego nerki. Badanie stosowane u pacjentów z założoną wcześniej nefrostomią pomaga uwidocznić lokalizację i rodzaj przeszkody w odpływie moczu z nerki.
Badanie wykonywane jest w pracowni rentgenowskiej lub na sali endoskopowej wyposażnej w aparat rentgenowski - ramię C. Pielografia zstępująca jest badaniem bezpiecznym i może być wykonywana ambulatoryjnie. W czasie badania pacjent układany jest na plecach. Przez cewnik nefrostomijny podawany jest środek kontrastujący i wykonywane są zdjęcia rentgenowskie.

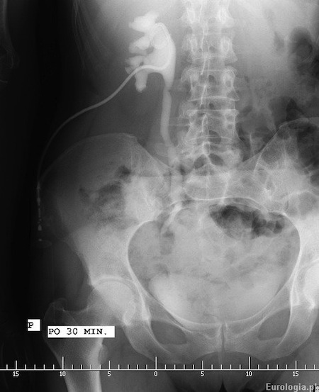
Fot. Pielografia zstępująca
Pielografia zstępująca jest badaniem dobrze znoszonym przez pacjentów. Jest to badanie niebolesne, czasami pacjenci zgłaszają chwilowe pobolewanie okolicy lędźwiowej. W przypadku wątpliwości diagnostycznych urolog pozostawia zamknięty dren nefrostomijny i zleca późne zdjęcia rentgenowskie celem oceny spływu zakontrastowanego moczu.
Zdjęcie rentgenowskie powyżej przedstawia obraz pielografii zstępującej po 30 minutach od podania kontrastu przez dren nefrostomijny. Nefrostomia założona była około 3 tygodni wcześniej z powodu prawostronnego roponercza. Stop spływu na wysokości dolnej krawędzi stawu krzyżowo - biodrowego. Przyczyną, która spowodowała roponercze była kamica moczowodowa.