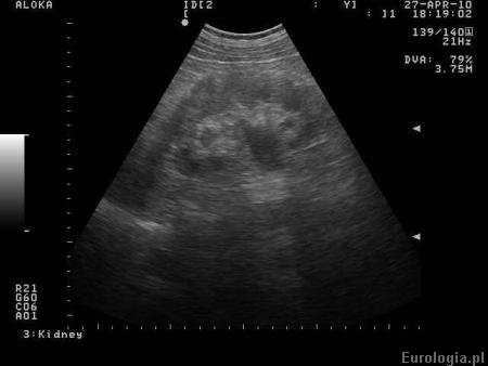
Poszerzony UKM nerki w badaniu USG brzucha. Stan po kolce nerkowej prawostronnej.
Kilka dni temu miałam atak kolki nerkowej po stronie prawej. Lekarz rodzinny przepisał mi leki przeciwbólowe, rozkurczowe i zlecił wykonanie USG jamy brzusznej oraz kontrolę w poradni urologicznej. W USG jest określenie " poszerzony UKM nerki prawej" poza tym USG bez odchyleń. Co oznacza określenie "poszerzony UKM"?
Odpowiedź zespołu eurologia.pl
W warunkach prawidłowych UKM - układ kielichowo - miedniczkowy nerki jest nieposzerzony. W Pani przypadku najbardziej prawdopodobną przyczyną poszerzenia UKM nerki jest utrudniony odpływ moczu z miedniczki nerkowej. Aby dokładnie określić jaka jest przyczyna zastoju w UKM należy rozszerzuć diagnostykę np. wykonać USG jamy brzusznej z pełnym pęcherzem, wykonać urografię, zdjęcie przeglądowe nerek i pęcherza lub CT jamy brzusznej. Najczęstszą przyczyną poszerzenia UKM z towarzyszącym silnym atakiem bólu kolkowego okolicy lędźwiowej jest kamica moczowodowa. Wszystkie schorzenia, które mogą powodować utrudnienie odływu moczu z nerki mogą powodować poszerzenie UKM nerki. Poszerzenie UKM zawsze wymaga diagnostyki i nie może zostać zlekceważone gdyż czasami jest to pierwszy objaw choroby nowotworowej. Kontrola u urologa obowiązkowa.

Fot.Poszerzony UKM nerki prawej w badaniu USG.