Powiększająca się torbiel prosta nerki
Czy torbiel prosta na nerce może mieć rozmiar 121 mm? Rok temu miałam robione USG i torbiel była wielkości 11 mm a teraz taki wynik: torbiel podkorowa NL 121 mm. Czy radiolog się pomylił?
Odpowiedź zespołu eUrologia.pl
Jest mało prawdopodobne aby torbiel prosta nerki w ciągu roku ponad uległa tak dużemu powiększeniu. Bardzo prawdopodobne, że wynik pomiaru jest błędnie zapisany. Nie jesteśmy w stanie ocenić czy lekarz się pomylił zapisując pomiar. Najlepiej będzie jeśli zgłosi się Pani do lekarza, który wykonywał badanie i poprosi o weryfikację wielkości torbieli. Polecamy artykuł: Torbiele nerek oraz Klasyfikacja Bosniaka torbieli nerek.

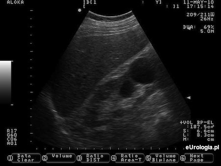
Fot. Torbiel prosta dolnego bieguna prawej nerki w USG.
Polecane artykuły
Polecane filmy