Prawidłowa pojemność pęcherza u dorosłych
Od pewnego czasu bardzo często chodzę do toalety i wydaje mi się, że objętość moczu jest dużo mniejsza niż była kiedyś. Mam 55 lat i leczę się na nadciśnienie - lek Metocard. Jaka jest prawidłowa pojemność pęcherza moczowego u dorosłych? Czy możliwe jest, że z wiekiem zmniejsza się objętość pęcherza?
Odpowiedź zespołu eUrologia.pl
Prawidłowa pojemność pęcherza moczowego u osoby dorosłej wynosi 300 - 600 ml. Częstomocz nie musi mieć związku ze zmniejszeniem pojemności pęcherza moczowego. Konieczna jest ocena czy nie istnieje organiczna przyczyna opisywanych przez Pana dolegliwości. Warto wykonać badanie ogólne moczu i badanie USG jamy brzusznej z pełnym pęcherzem moczowym z oceną zalegania po mikcji.

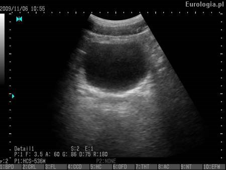
Fot. Obraz USG pęcherza moczowego.
Istnieją różne przyczyny częstomoczu i z całą pewnością konieczna jest konsultacja urologiczna celem określenia przyvzyny Pana dolegliwości.
Polecane artykuły
Polecane filmy