Przyczyny zastoju moczu w nerce
Układ zbiorczy nerki - inaczej układ kielichowo - miedniczkowy nerki - UKM zbudowany jest z kielichów nerkowych, które przechodzą w miedniczkę nerkową. Wyprodukowany przez nerkę mocz spływa kielichami do miedniczki nerkowej a następnie moczowodami do pęcherza moczowego.
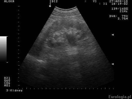
Zastój moczu w układzie kielichowo miedniczkowym nazywany jest zwyczajowo wodonerczem. Określenie wodonercze nie oddaje w rzeczywistości rzeczywistego stanu nerki. Zgodnie z definicją wodonerczem nazywa się nerkę, w której występuje poszerzenie układu kielichowo - miedniczkowego ze współistniejącym zwężeniem warstwy miąższowej.

Fot. Obraz nerki z zastojem w UKM.
Poszerzenie UKM - zastój moczu w układzie zbiorczym nerki obserwowany jest w badaniach obrazowych układu moczowego - np. USG, urografii lub tomografii komputerowej. Zastój moczu w UKM świadczy o utrudnionym odpływie moczu z nerki, którego przyczyna zawsze wymaga diagnostyki.
Najczęściej poszerzenie UKM obserwuje się u pacjentów z kamicą moczowodową oraz nowotworami miednicy małej - rak pęcherza, rak gruczołu krokowego oraz nowotwory narządu rodnego u kobiet. U młodych pacjentów często obserwuje się poszerzenie UKM w przebiegu zwężenia połączenia miedniczkowo - moczowodowego. Czasami zastój moczu w układzie zbiorczym obserwowany w badaniu USG nie potwierdza się w urografii a jego przyczyną są torbiele centralne nerki imitujące zastój w UKM
Polecane artykuły
Wodonercze - łac. Hydronephrosis
Kamica moczowodowa - informacje ogólne
Urografia - badanie urograficzne
Zwężenie połączenia miedniczkowo - moczowodowego
Badanie USG jamy brzusznej