Rak rdzeniasty nerki - rokowanie
Jakie jest rokowanie w przypadku rozpoznania raka rdzeniastego nerki? W wyniku histopatologicznym jest napisane Renal medullary carcinoma, według klasyfikacji TNM raka nerki pT2b. Chory jest w złym stanie ogólnym - ma przerzuty do płuc i mózgu. Mieszkamy zagranicą i trudno jest nam rozmawiać z lokalnymi lekarzami.
Odpowiedź zespołu eUrologia.pl
Rak rdzeniasty nerki - łac. Renal medullary carcinoma jest agresywną postacią raka nerki. Rak rdzeniasty nerki jest bardzo rzadkim nowotworem, który najczęściej atakuje osoby młode. Według literatury większość pacjentów z rakiem rdzeniastym nerki miało współistniejącą niedokrwistość sierpowatokrwinkową. U większości pacjentów z tym typem raka nerki w momencie rozpoznania stwierdza się przerzuty uogólnione. W przypadku przerzutów odległych rokowanie jest niekorzystne dla pacjenta.

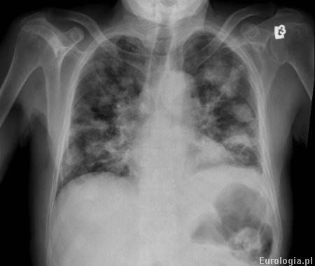
Fot. Przerzuty do płuc u pacjenta z rakiem nerki.
Polecane artykuły
Rak nerki - objawy, rozpoznanie i leczenie
Badania diagnostyczne w guzach nerki
Metody leczenia guzów nerki
Klasyfikacja TNM guzów nerki
Budowa anatomiczna nerek
Polecane filmy
Nefrektomia częściowa - operacja robodem da Vinci
Nefrektomia laparoskopowa - laparoskopowa operacja usunięcia nerki
Nefrektomia lędźwiowa - operacja usunięcia nerki z powodu wielotorbielowatości
Anatomia i fizjologia układu moczowego