Rokowanie w przerzutowym raku jasnokomórkowym nerki
U bliskiej mi osoby rozpoznano raka jasnokomórkowego nerki T3 z przerzutami do wątroby i płuc. W tej chwili pacjent jest po nefrektomii i jest bardzo słaby. Na leczenie sorafenibem nie udało się włączyć. Jakie jest rokowanie dla pacjenta z rakiem nerki i przerzutami?
Odpowiedź zespołu eUrologia.pl
Obecność przerzutów u pacjenta z rakiem jasnokomórkowym nerki jest niekorzystnym czynnikiem prognostycznym. Pięcioletnie przeżycie wśród pacjentów z przerzutowym rakiem nerki uzyskuje jedynie 8 - 10% chorych.

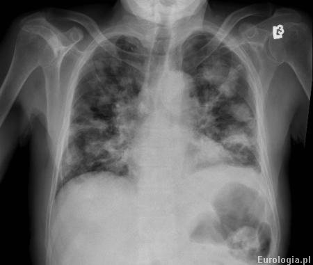
Fot. Zdjęcie RTG klatki piersiowej pacjenta z przerzutami raka jasnokomórkowego do płuc.
Polecane artykuły
Polecane filmy