Torbiel na nerce a ciąża
Od kilku lat mam torbiel na lewej nerce. W tym momencie ma około 7 cm. Wykryłam ją na przypadkowym badaniu USG. Nie odczuwam zupełnie żadnych dolegliwości i lekarz mi powiedział, że na razie nie muszę nic z tym robić. Natomiast od pewnego czasu zastanawiam się nad zajściem w ciążę, ale zupełnie nie wiem czy ta torbiel na nerce ok.7 cm będzie miała jakiś wpływ na przebieg ciąży. Bardzo mi zależy, żeby jak najszybciej zajść w ciąże, bo nie chcę już czekać dłużej, ale boję się tego czy później nie będę miała jakiś komplikacji... W tym momencie jestem za granicą i nie mam zbytnio możliwości udania się na wizytę urologiczną.
Odpowiedź zespołu eUrologia.pl
Bezobjawowa torbiel prosta nerki nie jest przeciwwskazaniem do zajścia w ciążę. Podczas ciąży warto pozostawać pod kontrolą urologa w celu okresowych kontroli USG. Więcej informacji można znaleźć w dziale: Torbiele nerek.

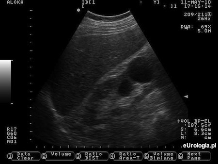
Fot. Torbiel prosta prawej nerki - obraz USG.
Polecane artykuły
Polecane filmy