Kamica górnego odcinka moczowodu - urografia

Cień wapienny 11x8 mm na wysokosci wyrostka poprzecznego L5 po stronie prawej mogacy byc złogiem w górnym odcinku prawego moczowodu

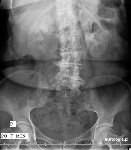
Zdjęcie urograficzne po 7 minutach - uwidoczniono zakontrastowany UKM nerki lewej i górny odcinek lewego moczowodu. Nefrogram i częściowo zakontrastowany UKM prawej nerki.

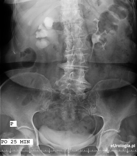
Zdjęcie po 15 minutach po podaniu kontrastu - wodonerczowato poszerzony UKM prawej nerki. Układ kielichowo-miedniczkowy nerk lewej i moczowód lewy na całej długości wypełnione zakontrastowanym moczem

Wodonerczowo poszerzony UKM prawej nerki i poszerzony górny odcinek moczowodu aż do opisywanego na zdjęciu przeglądowym cienia - złóg w moczowodzie.

Zółtą strzałką oznaczono cień wapienny o wymiarach 11x8 mm będący złogiem w górnym odcinku prawego moczowodu.