Urografia - kamica nerki prawej

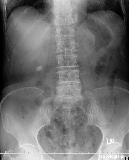
Zdjęcie przeglądowe jamy brzusznej w pozycji leżącej - cień wapienny w rzucie prawego pola nerkowego o wymiarach 20x10 mm.

Zdjęcie urograficzne wykonane po 7 minutach od podania kontrastu. Widoczne układy zbiorcze nerek i górne odcinki moczowodów.

Zdjęcie urograficzne po 15 minutach - widoczny zakontrastowany mocz w UKM obu nerek, dolny odcinek prawego moczowodu i słabo wypełniony pęcherz moczowy.

Zdjęcie urograficzne po mikcji - widoczny zalegający w pęcherzu zakontrastowany mocz