USG prostaty - interpretacja wyniku
Od jakiegoś czasu miałem pobolewania w podbrzuszu tuż ponad spojeniem łonowym. Dodatkowo pojawił się słaby strumień moczu i wstawanie w nocy. Lekarz rodzinny zlecił mi wykonanie badania ogólnego moczu i zrobił USG. Niestety nie dostałem opisu badania - wiem tylko, że zdiagnozował powiększenie prostaty, która wpukla się do pęcherza moczowego. Dostałem skierowanie do urologa i zalecenie żebym przed wizytą oznaczył PSA. Co oznacza, ze prostata wpukla się do pęcherza? Czy powiększenie prostaty może oznaczać np. raka prostaty?
Odpowiedź zespołu eUrologia.pl
Nie mamy żadnych informacji na temat wielkości gruczołu krokowego i wieku pacjenta. Określenie powiększenie prostaty jest niewystarczające do oceny czy rzeczywiście gruczoł jest powiększony. Wpuklanie się gruczołu krokowego jest często obserwowane u pacjentów z łagodnym przerostem gruczołu krokowego. Badanie USG jest niewystarczające od oceny stanu prostaty. Konieczna jest wizyta u urologa, który zbierze od Pana wywiad i oceni nasilenie Pańskich dolegliwości ze strony układu moczowego. Badanie per rectum - DRE i oznaczenie stężenia PSA są podstawowymi badaniami w diagnostyce chorób gruczołu krokowego. Więcej informacji można znaleźć w artykule: Ocena prostaty w USG - interpretacja wyniku oraz PSA - marker nowotworowy raka prostaty.

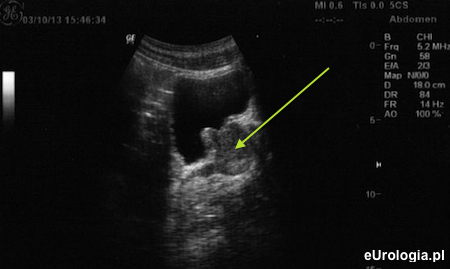
Fot. Przekrój strzałkowy w badaniu USG przez powłoki brzuszne. Wpuklający się do pęcherza moczowego gruczoł krokowy z przerośniętym trzecim płatem.
Polecane artykuły
Polecane filmy