close
Informacje o nowych artykułach prosto na Twój e-mail
zapisując się do newslettera akceptuję politykę prywatności serwisu eUrologia.pl
Co nowego?
Facebook
Twitter
Instagram
Ostatnie artykuły
Acidolac
AML - angiomyolipoma
Operacja gruczolaka stercza - Adenomectomia
Wytrysk nasienia po wazektomii?
Facebook
Twitter
Instagram
YouTube
Choroby
Zabiegi
Diagnostyka
Objawy
Filmy
Słownik
Konsultacje
Pytania
Leki
Lekarze
Strona główna
Pytania
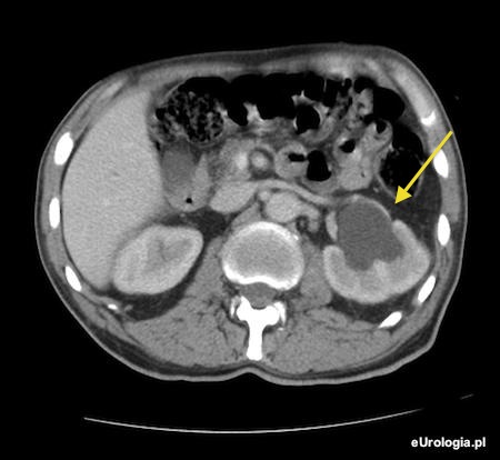
Wodonercze lewostronne
Pytania
Wodonercze lewostronne
2010-11-03
Udostępnij:
Facebook
Twitter
WhatsApp
Email
Submit
Type above and press
Enter
to search. Press
Esc
to cancel.