Zapalenie czy guz jądra - wynik USG
Czy w badaniu USG jąder można rozróżnić czy mam zapalenie jądra, czy guza jądra? Od 4 tygodni walczę z zapaleniem jądra. Dostaję już 2 antybiotyk i praktycznie nie ma efektu. Zastanawiam się nad wizytą u urologa i USG moszny. Czy w USG moszny widać różnicę między guzem i zapaleniem jądra?
Odpowiedź zespołu eUrologia.pl
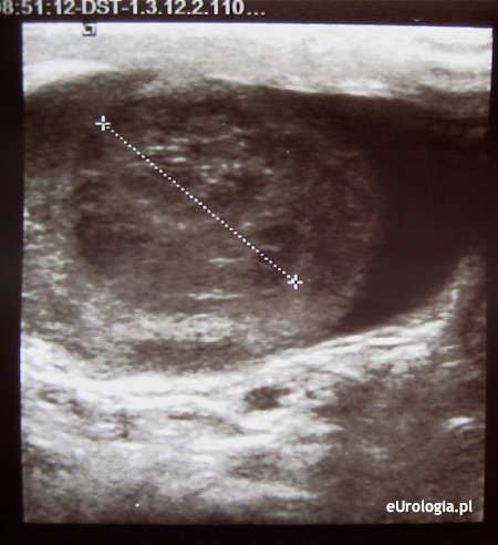
Badanie USG moszny jest podstawowym badaniem obrazowym w diagnostyce obrazowej schorzeń jąder. Rozpoznanie różnicowe zapalenia jądra i guza jądra jest z reguły proste i nie sprawia problemów diagnostycznych. Brak efektu po leczeniu antybiotykiem i niejasny obraz kliniczny jest wskazaniem do konsultacji urologicznej.

Fot. Guz jądra - obraz w USG.
Polecane artykuły
Polecane filmy