Badanie ultrasonograficzne – USG
Badanie ultrasonograficzne nazywane też badaniem USG jest badaniem pozwalającym na nieinwazyjną ocenę narządów i tkanek z wykorzystaniem fali ultradźwiękowej. Badanie jest bezpieczne, nie ma skutków ubocznych i może być wielokrotnie powtarzane.
Techniczne podstawy badania
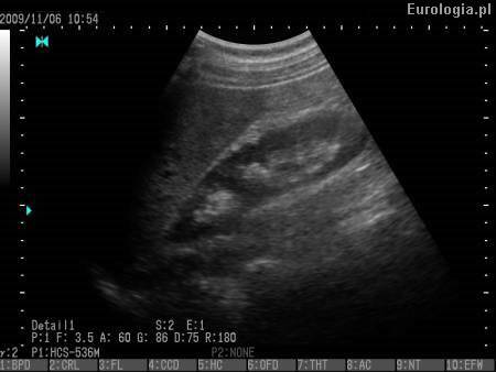
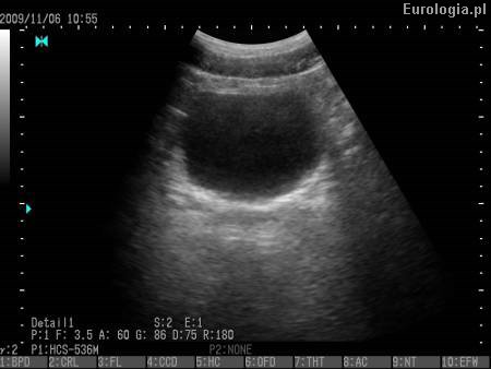
Ultrasonografia wykorzystuje fale ultradźwiękowe do obrazowania narządów ciała ludzkiego. W urologii najczęściej wykorzystywane są fale o częstotliwości 3,5 – 5 MHz. Fala ultradźwiękowa rozchodząc się w tkankach ulega różnym zjawiskom – między innymi odbiciu. Fala ultradźwiękowa odbita na granicy dwóch ośrodków o różnej oporności akustycznej jest źródłem informacji na temat danego narządu w ciele ludzkim.

Aparat ultrasonograficzny zbudowany jest z głowicy – sondy USG, która emituje i odbiera fale ultradźwiękowe. Konwersja sygnału akustycznego na impuls elektryczny, który następnie obrabiany jest przez układy elektroniczne ultrasonografu pozwala na uzyskanie badanych struktur na monitorze aparatu USG.

Do czego wykorzystywana jest ultrasonografia ?
Badanie ultrasonograficzne jest nieinwazyjnym sposobem diagnostyki narządów jamy brzusznej. Badanie jest podstawowym sposobem wykrywania patologii nerek, pęcherza moczowego, gruczołu krokowego i jąder.
Przygotowanie pacjenta do badania USG jamy brzusznej
Badanie USG jamy brzusznej powinno być wykonywane na czczo. Pacjenci, którzy nie spełniają tego warunku mogą być badani jednak ocena niektórych struktur może być utrudniona lub niemożliwa. W badaniu ultrasonograficznym pacjentów ze schorzeniami układu moczowego przygotowanie do badania nie jest tak bardzo istotne gdyż nerki i pęcherz leżąc pozaotrzewnowo są stosunkowo dobrze dostępne. Dobre wypełnienie pęcherza moczowego jest jedynym warunkiem jaki należy spełnić w diagnostyce ultrasonograficznej układu moczowego. Zaleca się wypicie 2-3 szklanek niegazowanej wody lub herbaty przed wizytą u lekarza tak aby bezpośrednio przed badaniem odczuwać parcie na mocz. Pacjenci, u których zaplanowano transrektalne USG (TRUS) wymagają odpowiedniego przygotowania odbytnicy. Bezpośrednio przed badaniem wskazane jest wykonanie wlewki doodbytniczej celem oczyszczenia odbytnicy z zalegających mas stolca.
Jak wygląda badanie ?
Badanie ultrasonograficzne jamy brzusznej wykonywane jest w pozycji leżącej na plecach. Dodatkowo lekarz może prosić pacjenta o położenie się na boku lub brzuchu. W przypadku podejrzenia nadmiernej ruchomości nerki część badania wykonywana jest w pozycji stojącej. Przed przyłożeniem głowicy ultrasonograficznej do pacjenta lekarz nakłada niewielką ilość żelu ultrasonograficznego na skórę brzucha. Żel zwiększa powierzchnię przylegania głowicy do skóry i poprawia jakość sygnału. W czasie badania pacjent może być proszony o nabranie głębokiego wdechu z zatrzymaniem powietrza co ułatwia uwidocznienie nerek. Celem oceny objętości zalegającego moczu po mikcji urolog może poprosić o oddanie moczu w toalecie po czym ponownie wykona USG pęcherza moczowego.
Video: Obraz USG układu moczowego.