Tomografia komputerowa - CT
Tomografia komputerowa - CT - od angielskiego określenia Computed Tomography - TK jest badaniem radiologicznym wykorzystującym promieniowanie rentgenowskie. Tomografia komputerowa została wprowadzona do diagnostyki medycznej w 1972 roku przez Hounsfielda. Obrazy uzyskiwane podczas tomografii komputerowej pozwalają na analizę warstwa po warstwie wszystkich struktur w ciele ludzkim. Komputerowa obróbka uzyskanych skanów w czasie tomografii komputerowej umożliwia na przestrzenną rekonstrukcję badanej struktury.
Podstawy techniczne tomografii komputerowej
Tomografia komputerowa wykorzystuje zjawisko przenikania promieniowania X przez tkanki ludzkiego ciała. W chwili przeniknięcia wiązki promieniowania rentgenowskiego przez badaną strukturę jest ona analizowana przez specjalny detektor. Lampa rentgenowska emitująca promieniowanie X jest w przeciwieństwie do klasycznego aparatu RTG ruchoma. W czasie badania lampa rentgenowska porusza się ruchem okrężnym wzdłuż długiej osi pacjenta. W czasie tomografii komputerowej uzyskiwane są przekroje badanych struktur w odstępach od 2 do 10 milimetrów w zależności od badanych struktur i poszukiwanej patologii

Fot. Tomograf komputerowy - ruchomy stół i gantra
Przygotowanie pacjenta do badania
Przed wykonaniem tomografii komputerowej nie jest potrzebne żadne przygotowanie z wyjątkiem pozostania na czczo przez minimum 6 godzin przed badaniem. W przypadku wystąpienia w przeszłości jakichkolwiek reakcji uczuleniowych lub występowania chorób tarczycy należy powiadomić o tym fakcie lekarza kierującego na tomografię komputerową a także personel wykonujący badanie. Tomografia komputerowa jest badaniem podczas, którego emitowana jest duża dawka promieniowania rentgenowskiego więc kobiety w ciąży lub podejrzewające ciążę muszą ten fakt zgłosić lekarzowi, który kieruje na badanie tomograficzne.
W razie konieczności podania kontrastu dożylnie konieczne jest założenie wenflonu. Tomografia z podaniem kontrastu - tak zwana tomografia dwufazowa pozwala na lepsze uwidocznienie zmian dobrze unaczynionych co jest szczególnie przydatne w diagnostyce guzów nerek.
.jpg)
Fot. Pracownia tomografii komputerowej
Jak wygląda badanie tomografii komputerowej
Tomografia komputerowa wykonywana jest w pozycji leżącej i jest badaniem całkowicie bezbolesnym. W czasie badania pacjent leży na plecach na specjalnym ruchomym stole, który wjeżdża do gantry - część aparatu z ruchomą lampą rentgenowską. Badanie trwa od kilku do kilkunastu minut i nie wymaga zdejmowania ubrania z wyjątkiem metalowych elementów, które mogą być źródłem artefaktów.
W czasie badania ważne jest aby pacjent leżał nieruchomo i wykonywał wszystkie polecenia wydawane przez technika wykonującego badanie celem uzyskania jak najlepszej jakości skanów tomograficznych. W czasie badania pacjent pozostaje w kontakcie z personelem przeprowadzającym badanie - pomieszczenie z tomografem połączone jest interkomem z dyżurką techników więc w razie wystąpienia jakichkolwiek dolegliwości wystarczy zgłosić ten fakt.

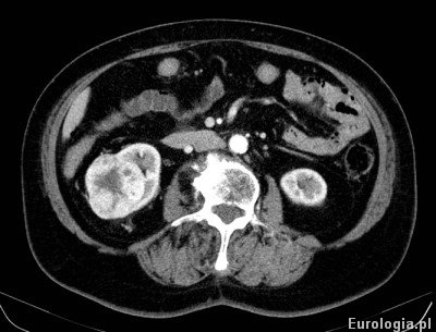
Fot. Tomografia komputerowa przedstawiająca uwidaczniająca guza nerki prawej

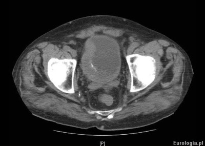
Fot. Tomografia komputerowa - guz pęcherza moczowego