TRUS - przezodbytnicze USG - Transrectal Ultrasound
TRUS - przezodbytnicze USG jest badaniem wykorzystywanym od ponad 15 lat w diagnostyce schorzeń gruczołu krokowego. Biopsja gruczołu krokowego pod kontrolą USG jest złotym standardem w rozpoznawaniu raka prostaty. Przezodbytnicze USG wykorzystywane jest także w diagnostyce zapalenia gruczołu krokowego oraz nieprawidłowości w strukturze pęcherzyków nasiennych. Wprowadzenie pojęcia budowy strefowej gruczołu krokowego przyczyniło się do coraz powszechniejszego stosowania TRUS w biopsji gruczołu krokowego. Dokładna ocena gruczołu krokowego pod kontrolą USG pozwala na pobieranie wycinków ze stref gruczołu krokowego, w których częstość występowania ognisk raka jest największa.
Historia
Pierwsze próby obrazowania gruczołu krokowego w badaniu przezodbytniczym opisane zostały w 1965 przez Wild'a i Raid'a jednak obraz uzyskany podczas badania był tak słabej jakości, że nie wiązano z TRUS możliwości stosowania w codziennej praktyce.
W 1967 Watanabe ze współpracownikami wykonali pierwszą przydatną klinicznie TRUS. Rozwój techniki spowodował, że współczesne głowice transrektalne pozwalają na doskonałe obrazowanie gruczołu krokowego i otaczających go struktur.
Przygotowanie pacjenta
Zwyczajowo przed badaniem TRUS wykonuje się wlewkę doodbytniczą - enemę, która oczyszczając bańkę odbytnicy poprawia jakość uzyskanego obrazu. Enema nie jest konieczna przed badaniem i wielu urologów jej nie wykonuje przed TRUS.
Podczas badania pacjent układany jest na lewym boku z podkurczonymi nogami. Przed badaniem urolog palcem ocenia odbyt/odbytnicę i gruczoł krokowy - badanie DRE.
Wnioski
Wprowadzenie TRUS znacznie poprawiło wykrywalność raka prostaty podczas biopsji stercza.

Widok gruczołu krokowego w przekroju poprzecznym podczas TRUS

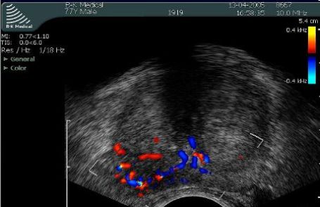
Poprzeczny przekrój gruczołu krokowego widziany podczas TRUS z Dopplerem